À la découverte d’un acteur méconnu de la réparation cartilagineuse Les avancées récentes en biologie cellulaire ont révélé le lipocartilage, un tissu squelettique jusque-là méconnu, qui apparaît aujourd’hui comme un candidat…
Et si votre pain quotidien devenait votre pire ennemi ? C’est la réalité vécue par des personnes atteintes de la…
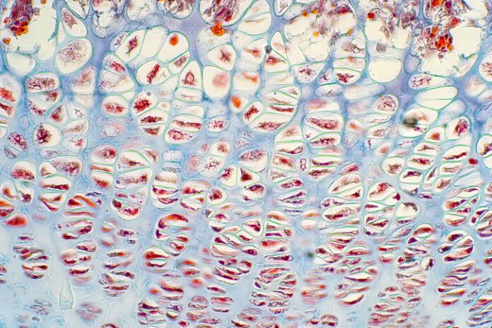
À la découverte d’un acteur méconnu de la réparation cartilagineuse Les avancées récentes en biologie cellulaire ont révélé le lipocartilage, un tissu squelettique jusque-là méconnu, qui apparaît aujourd’hui comme un candidat…
Au Maroc, malgré la gratuité et l’accessibilité des centres de dépistage du VIH, peu y ont recours. Entre peur du…
Le mardi 23 juillet 2024, M. Khalid Aït Taleb, Ministre de la Santé et de la Protection Sociale, a signé,…
Boycott des Étudiants en Médecine et en pharmacie : L'Année Universitaire Commence Sans Solutions. L’année universitaire approche à grands pas,…
Depuis décembre 2023, une initiative unique en son genre anime la communauté universitaire de la Faculté de Médecine et de…
Pour la toute première fois à Rabat, les étudiants en pharmacie se rassemblent au sein du Hall de la faculté…
Our selection of the week's biggest research news and features sent directly to your inbox. Enter your email address, confirm you're happy to receive our emails.
À la découverte d’un acteur méconnu de la réparation cartilagineuse Les avancées récentes en biologie cellulaire ont révélé le lipocartilage, un tissu squelettique jusque-là…
Et si une même maladie pouvait, à elle seule, dérégler le cycle menstruel, favoriser l'acné,…
Et si une seule maladie pouvait, à elle seule, perturber le cycle menstruel, favoriser l’acné,…
Sang menstruel : le nouveau « sang de diagnostic » pour l’endométriose (et bien plus)…
Sign in to your account